One of our most shocking cases arrived on January 28th, 2015 after an injured cat was found inside a garage in Britton. When he arrived, we couldn't believe our eyes. Both front legs were severely injured and we expected his spirit to be crushed as well. We found the exact opposite to be true.
After his brief intake exam, we were surprised to discover that this stray cat was not only neutered, but microchipped as well! His microchip traced back to the Humane Society of Huron Valley so we were able to learn his name and age but not much else. His owner's contact information had never been updated and it was impossible to track them down.
We knew Copper's name. We knew that he was about five years old. We knew that he absolutely loved people and mealtimes. However, his current situation was still a mystery to us.
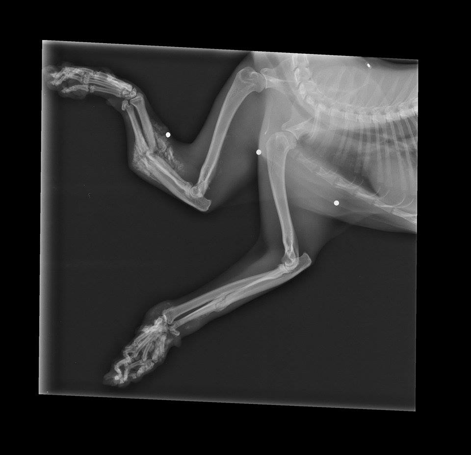
The next day, Copper's appointment at Adrian Animal Clinic revealed the extent of his injuries. X-rays were taken to view the damage and we couldn't believe our eyes. Both paws had several severe fractures and his front left paw had been crushed to point of no return. To make matters worse, x-rays also revealed three BBs or bird shot within his front legs as well. We still had no clue what caused this much damage, but it was beginning to look intentional. Our hearts broke for this poor beautiful, sweet creature.
Upon examination, the veterinarian revealed the bad news. Because of the severity of all of Copper's fractures, treatment through splinting or amputation didn't appear to be viable options. Humane euthanasia was recommended because a quality life did not seem possible with this kind of damage.
When alert and ready for action, however, Copper doesn't appear to notice the issues with his front legs. His spirit has not been broken and "no" is not something he understands. Is there a way for Copper to live a quality life with his injured legs?
It appears that one leg seems to be "healing" as much as possible. It will never be straight again, but if Copper tells us he wants to live, who are we to tell him no?
We are currently looking into other options for Copper. It is a miracle that he has survived his past and we will honor his future by giving him one. If interested in making this amazing, charming boy a part of your family, please submit an adoption application here. Our adoption coordinator and animal health manager will follow up with you and answer any additional questions you may have.














